Pittsburgh, Pennsylvania

Our cutting-edge implant technology allows us to restore your smile in a matter of hours with unmatched precision.
With an in-house lab and an experienced team of oral surgeons, we take care of everything all under one roof!

Dr. Karen Johnson
As a student of both the Pankey Institute and the Spear Institute, Dr. Karen Johnson provides patients with a level of clinical mastery that’s truly second to none. Her advanced training and precision-driven approach make her highly sought-after for a wide range of procedures, including crowns and bridges, root canal therapy, dental implants, AOX/All-on-4® full-arch treatment, and full-mouth rehabilitation.
Dr. Johnson completed her undergraduate education at Indiana University before earning her Doctorate of Dental Surgery from the prestigious University of Michigan School of Dentistry, where she graduated at the top of her class. She then completed the renowned General Practice Residency at the Veterans Affairs Hospital in Pittsburgh, receiving exceptional hands-on training under the mentorship of leading dental experts. Her advanced training includes crown and bridge, root canal therapy, the pinhole technique, implants, AOX/All-on-4® solutions, cosmetic dentistry, and comprehensive restorative care.
No hidden fees. No shortcuts. No compromise.

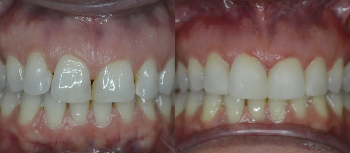
Premium FDA-Approved Zirconia Bridge, built to last.
At least 4-6 Implants for rock-solid stability.
Advanced 3D Imaging & Digital Smile Design for Flawless precision.
Pain-free procedure with General Sedation.
Full surgical care. Bone grafts, extractions & more.
Extensive After Including 4 FULL REVISIONS if needed
Everything you need for a permanent, life-changing smile in one powerful package.
Frequently Asked Questions
It’s an investment in your smile and your life. Unlike dentures that have to be replaced every few years, dental implants can last a lifetime with the right care. With flexible payment options, we work with each patient’s individual budget.
Most adults are. Good candidates are those missing multiple teeth, in good general health, and seeking a long-term solution. We’ll assess your suitability during the consultation.
We prioritize your comfort. The procedure is done under anesthesia, so you shouldn't feel pain during the surgery. Post-procedure discomfort is typically mild and manageable with medication.
This procedure used to take up to a year (believe it or not) but we use advanced modern equipment and workflows that have allowed us to restore your smile in a single day and then we customize your smile until it is absolutely perfect.
Just like natural teeth. Regular brushing, flossing, and dental check-ups are key. We'll also provide specific care instructions tailored to your situation.
Absolutely. Dental implants have a long track record of safety and success. We use high-quality materials and state-of-the-art procedures to ensure the best outcomes.
With proper care, a lifetime. All-On-X implants are built to last and can be a permanent solution with the right maintenance.
All-On-X can be a great upgrade. Many people switch from dentures to implants for more stability and comfort. We can evaluate if this switch is right for you.
70 Fort Couch Rd, Pittsburgh Pennsylvania 15241
412-895-2844
This page is not affiliated with or endorsed by Google, Facebook, or any other platform used to promote this offer.